Dental Digest
from Belograd Academy
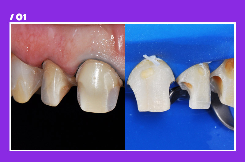
Strategies to provide crown prep and caries management. Case review
Read more
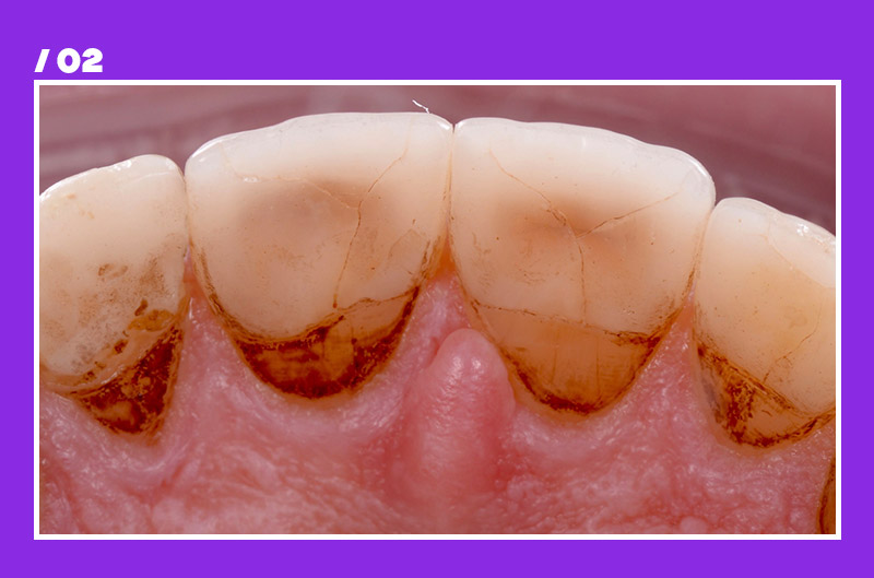
Reasons why e.max crown cracks. Case presentation
Read more
Step-by-step crown prep. Step 1. Bur sequence. Video guide
Read more
Tips and tricks how to control 2 planes preparations. Video guide
Read more
Preparation for full crowns: Anteriors
Price increase from January 14
Online Master-class / January 27, 2021 / 19:00 (GMT +2)

The full process of preparations for different metal-free crowns will be demonstrated step by step.

Price:
49.99 EUR until January 13
59.99 EUR from January 14
Read more
You have received this message because you have a subscription for BG Dental news.
You can unsubscribe from this letter, send request email@belograd.com