Dental Digest
from Belograd Academy
Изготовление силиконового ключа для временных виниров или мокапа:
Подробнее
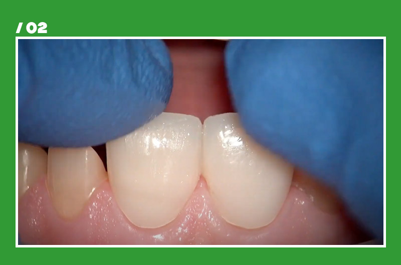
Цементируем лабораторные реставрации из PMMA, когда есть или когда нет ретенции:
Подробнее
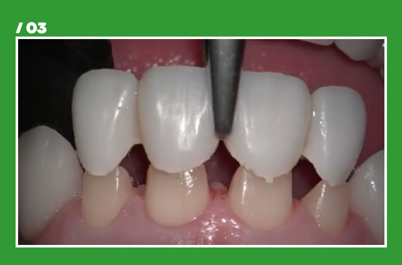
Снимаем временные коронки при помощи хирургического зажима
Подробнее
Реставрационный композит и прозрачный силикон для изготовления временных виниров
Подробнее
Временные конструкции: виниры, накладки, коронки
Онлайн мастер-класс / 21 Декабря 19:00 (GMT+2)

Как делать временные накладки, винницы и коронки. Пошаговое руководство в новом онлайн-мастерклассе с эффектом присутствия.

Специальная предновогодняя цена
19.99 EUR до 21 Декабря
59.99 EUR после 22 Декабря


Подробнее
You have received this message because you have a subscription for BG Dental news.
You can unsubscribe from this letter, send request email@belograd.com