Dental Digest
from Belograd Academy
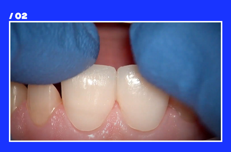
Two steps silicone index for temporary veneers or mock-up
Read more
Cementing LAB PMMA temps if there is retention or there is no retention
Read more
Removing temporary сrowns with surgical forceps
Read more
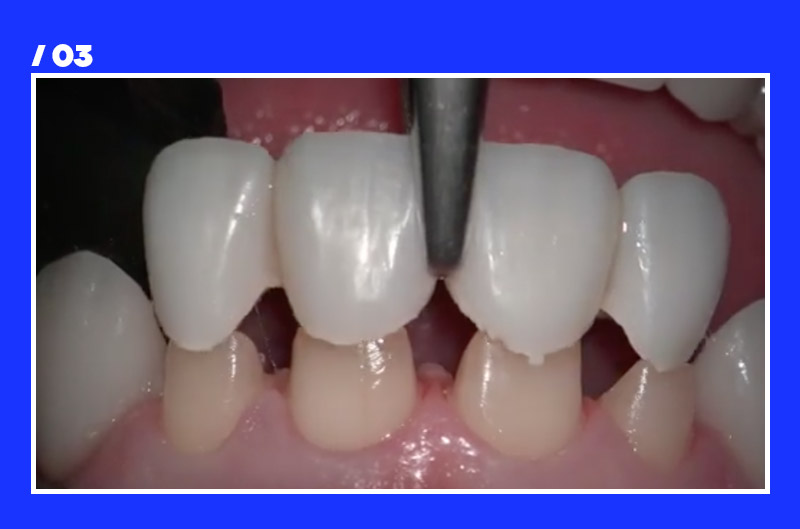
Restorative composite for temporary veneers using transparent silicone index
Read more
Temporary restorations: veneers, crowns, onlays
Online Master-class / December 22 19:00 (GMT+2)

How to make chair side temporary veneers, inlays and crowns. Step-by-step guide. Online masterclass with presence effect.

Special Christmas price:
19.99 EUR until December 22
59.99 EUR from December 23
Read more
You have received this message because you have a subscription for BG Dental news.
You can unsubscribe from this letter, send request email@belograd.com